原核(E. coli)蛋白表达与纯化服务
一、服务简介 
原核蛋白表达系统以大肠杆菌(Escherichia coli)为宿主,利用其高效的转录 - 翻译机制,实现外源基因的快速、低成本表达。该系统适用于多种类型的蛋白质生产,包括酶、 细胞因子、免疫原、抗体片段及膜蛋白等。
特点:
1、遗传背景清晰
2、蛋白表达周期短,易放大
3、生长速度快(约 20 分钟 / 代),表达水平高,可占总菌体蛋白的 10%-50%
4、可调控不同参数得到最适表达
二、 服务优势:
1、一站式解决方案:可提供从基因合成、载体构建到蛋白表达、纯化、质检的一站式服务。
2、综合性平台: 可灵活选择多种表达系统
3、定制化服务: 直观易用的线上载体设计平台上可自由添加各种蛋白标签
4、高质量: 可提供多种类型的纯化方法以及质量控制项目
三、服务流程


三、核心优势
1、高效低成本:大肠杆菌生长快、培养基简单(如 LB、TB),生产成本仅为真核系统的 1/10-1/5。
2、技术灵活性:兼容多种标签(His、GST、Flag)表达,提供定制化服务,如密码子优化、载体改造、标签切除(凝血酶 / 肠激酶)。
3、难表达蛋白解决方案:针对膜蛋白、毒性蛋白,采用 Rosetta 菌株(增强二硫键形成)或低温诱导(16℃),提升可溶性。专业复性技术可处理高浓度包涵体,回收率>80%。
4、质量保障:全流程可追溯,提供详细的实验报告(测序、表达谱、纯化图谱)。

四、应用领域
1、生物医药:疫苗抗原(如新冠病毒 S 蛋白)、酶类药物(如溶血栓酶)、诊断试剂。
2、基础研究:蛋白结构解析(X 射线晶体学)、功能验证(酶活性测定)。
3、工业生产:洗涤剂用酶(如脂肪酶)、生物催化(如手性合成酶)。
五、服务承诺
1、 交付周期:小规模表达验证 7-14 个工作日,纯化交付 10-21 个工作日(视复杂度调整)。
2、保密协议:严格保护客户知识产权,签订保密协议后提供完整原始数据。
选择我们的原核蛋白表达服务,您将获得高效、可靠的一站式解决方案,助力科研与产业转化!
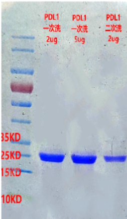
案例: PD-L1 重组抗原 IL-17-重组抗原

上一篇:多肽合成服务